Home

 

Impressum

Kontakt

Postadresse

 

Räumliche Organisation der mukosalen Flora einer gesunden Wildtypmaus in verschiedenen Abschnitten eines Dickdarms

prev           next

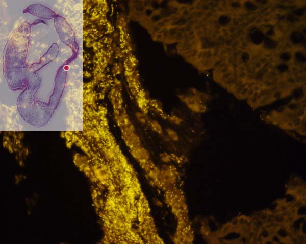
Auf der linken Seite sehen Sie die Ansicht des Schnittes des gesamten Dickdarms einer gesunden 26 Wochen alten Maus. Durch einen Klick auf ein Segment innerhalb des Bildes  wie z.B. Coecum, Appendix, proximales Colon, mittleres Colon, distales Colon, Rectum und der Rückwand gelangen Sie dann zu einer

Reihe von FISH-Bildern, die kontinuierlich entlang der Darmwand aufgenommen sind. Mit der Vor- und Rückwärts-Taste wandern sie schrittweise entlang des Darms.  Der rote Punkt auf dem Übersichtsbild markiert die jeweilige Position des mikroskopischen Feldes.  Die Farben sind real mit einer Nikon Digital Kamera aufgenommen. Bacteroides ist Orange (Cy3), Eubacterium rectale leuchtet rot (Cy5), alle anderen Bakterien haben eine grüne Fluoreszenz. DAPI (blaue Fluoreszenz) färbt die Nukleinsäuren. Wahlweise sind alle drei Bakteriengruppen simultan aufgenommen. Zur besseren Übersicht präsentieren einige Felder ausschließlich Cy3 (Bacteroides) oder Dapi (Nukleinsäuren) Fluoreszenz.

 

 

 

    

 

 

 

    Sprechstunde

Publikationen

Präsentationen

Russische Seite

    Darm

Darm

 

 

       Wozu der Darm?

       Appendizitis

Tagungen

 

       Colitis / MbCrohn

       CED

 

 

       Stuhldiagnostik-Merkblatt

       Darmkrebs

 

Porträt

       Stuhldiagnostik-Probenentnahme

Uro-Genital

FISH-Methode

Nachdenkliches - Das Leben

       Stuhldiagnostik-Grundlagen

Harnwegsinfektionen / Vaginose

FISH-Anleitung

 

       Beispiele

HNO

 

 

       Stichworte

Schlaganfall

Zusätzlichen Informationen

 

    Uro-Genital

NET-Karzinoid

      MausDarm

 

    Kontakt / Terminvergabe

 

 

 

    Postadresse

Übersichtsarbeiten

  Kontakt

    Lageplan

    Impressum
       

ileocecal cecum appendix
prox. colon mid. colon doit.colon back